Knee Arthritis

Knee pain red

Knee Arthritis is a BIG problem.  Regenerative Medicine and Platelet Rich Plasma offers groundbreaking techniques that will revolutionize how knee arthritis is treated.


Knee Arthritis presents a significant problem for U.S. healthcare.  

10 Million people in the United States have Knee Arthritis.

$30 Billion is spent annually on knee replacements alone.

There needs to be a new paradigm to treat Knee Arthritis.

REGENERATIVE MEDICINE and the use of  STEM CELLS and PlATELET RICH PLASMA is that new Emerging Treatment Paradigm.



Knee Anatomy AAOS

The normal knee joint

Smooth Knee Cartilage

Smooth Cartilage seen in the normal non-arthritis knee joint.

The Normal Knee

The knee is a critical joint.  Unfortunately it is also commonly injured and develops arthritis in many people. 


The normal knee consist of smooth articular cartilage which is strong and resilient.  It allows the knee to move smoothly and without pain.  


The meniscus provides cushioning and some stability to the knee.


There are multiple ligaments that are critical to knee function.  When these ligaments are injured they can cause instability and early wear and tear of the knee.


The normal knee also has special joint fluid that has good viscosity and provides the lubrication and cushioning that the knee requires to functions optimally.



Knee Anatomy Video


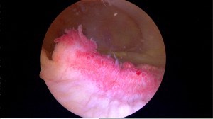
The Arthritic Knee

Knee OA - AAOS

Arthritis causes a wearing out of the knee cartilage



Knee Early Arthritis

Arthroscopic view showing the rough cartilage surface found in arthritis

Knee arthritis is a progressive wearing out of the normal articular cartliage that lines the moving surfaces of the knee.  As the cartilage wears away it can become frayed and rough, and the thickness of the protective cartilage decreases.  This wear and tear can be a slow and progressive process or can develop because of a prior injury.  As the arthritic process progresses it can result in bone rubbing on bone, and become progressively more painful.  The “environment” in an arthritic knee allows the “breaking down” (catabolic effect) process of the cartilage and meniscus to continue.  The wear and tear cycle just continues until the knee is completely worn out.

Knee joints affected by arthritis can develop many symptoms:

     - the joint can become stiff and swollen

Inflammed Knee Synovium

Inflammed syovial lining found in arthritis

     - pain and swelling may be worse in the morning or after resting or sitting

     - vigorous activities can cause the pain to flare up

     - loose fragments can develop that can cause catching, giving way, or locking

     - pain can cause a feeling of weakness or buckling of the knee

     - many people get increased pain with rainy weather



The Problem With Traditional Treatment for Knee Arthritis

Knee Pain Pic


The traditional treatments that are not associated with significant risks and side effects include rest, ice, physical therapy, and splints or bracing.  These modalities can offer some small amount of relief of pain for a short period of time.  Unfortunately, these do nothing to speed up or stimulate the healing process.

Others treatment options including oral medications, corticosteroid injections, and surgery are all associate with very significant negative side effects.  The medications block the inflammation process.  Unfortunately they also block the very processes that the body requires to activate the healing processes.  A new study actually shows that these medications cause a worsening of the arthritis and make needing a knee replacement more likely - this is the last thing you want to do to your knee! 

The cortisone injection does nothing to prevent the continued catabolic effect (breaking down process), and inhibits the anabolic effect (building up process).  Corticosteroid injections, therefore, can actually cause an acceleration of the degenerative process, and cause the knee to wear out faster.

Therefore, these medication actually are counterproductive in the long run.  Corticosteroid injections can actually cause additional damage to the cartilage, meniscus, and ligaments.  It has also been shown that corticosteroid are detrimental to stem cells.  

Surgery may sometimes be necessary, but everything should be done to avoid having to embark on this invasive intervention.

There are also now many studies that have shown many of the common surgical procedures on the knee, such as arthroscopic menisectomy, particularly for middle aged people, are essentially ineffective.  (Acta Orthop 2015 Dec3:1-3)

Another study looking at patients with degenerative meniscal tears and mechanical symptoms, like catching or locking, shows that these patients DO NOT benefit from arthroscopic partial menisectomy. (Annals of Int Med 9 Feb 2016)  This surgery has been done so commonly, and unfortunately patients have not gotten better.  It is time to treat this problem differently.

Arthroscopic surgery for meniscal tear in degenerative knees is no better than “fake” surgery.  Excellent video on recent study.


Another recent study showed what we have really known all along.  Arthroscopic partial meniscectomy can accelerate the rate of developing wear and tear arthritis in the knee.  This occurs because the menisectomy causes an increase in the loads and forces across the knee joint.  These increased forces and load wear out the cartilage faster.  That’s the wrong way to go, we want to help preserve the cartilage.

Total Knee Replacements are done more and more each year.  Between 1991 and 2010 the number of Knee Replacements covered by Medicare rose 161%!  And revision knee replacements have more than doubled.  That is a significant increase.  Are all of these surgeries really necessary and appropriate?

A recent study (a multicenter study in the U.S.) revealed that many Knee Replacements are not done for the right reasons.  Only 44% were classified as being done for “appropriate” reasons.  Over 1/3 (34%) were classified as being done for “inappropriate” reasons.  And in 22% the reasons for needing their Knee Replacements were “inconclusive”.  (Art Rheum August 2014)  This a serious problem!  That means that over 1/2 of all Total Knee Replacements are done for the wrong reasons.  Another way of saying that is, that most knee replacements really don’t need to be done!

Wouldn’t it be nice to have a treatment option that could stimulate the body to reduce the pain and inflammation of knee arthritis, and at the same time help prevent the progression of the wear and tear of the cartilage?  Well, there is!  And that is where Regenerative Medicine and PRP (Platelet Rich Plasma) comes into play.  


Stem Cells and Platelet Rich Plasma (PRP) Treatment for Knee Arthritis


Knee Pain Picture


Stem Cells and Platelet Rich Plasma (PRP) are a biological therapy that can effectively treat Knee Arthritis.  PRP can reliably alleviate pain, restore knee function, and can slow the progression of the arthritis process.

The various bioactive substances and platelets in Stem Cells and Platelet RIch Plasma (PRP):

     - provide a natural way to stimulate the body to heal damaged tissue.  

     - balance the inflammatory/anti-inflammatory processes

     - reduce the inflammation and pain

     - stimulate cartilage cells (chondrocytes) to strengthen cartilage

     - increases hyaluronic acid secretion to improve the lubrication of the joint

     - inhibits and reverses the breakdown of cartilage in a joint

     - stimulates the anabolic (building up) processes while at the same time inhibiting the catabolic (breaking down) processes

OA NormalCartilage 800x800

PRP treatment for knee arthritis help reduce the wear and tear process of the knee cartilage


Several studies have shown that Platelet Rich Plasma is an extremely effective treatment for people that have knee arthritis. 

A new study showed that PRP improves pain symptoms and function of the knee  by about 80% from their baseline scores at one year.   (Am J Sports Med April 2016 vol. 44 no. 4 884-89)

In fact, Platelet Rich Plasma (PRP) treatment for knee arthritis in more effective than the use of corticosteroid and viscosupplementation.  Reference (HSS, 2013), Reference (J.Arthroscopy, 2015).  Not only is PRP more effective in treating arthritis than these “traditional” methods, but it also not associated with any of the typical complications associated with these treatments.

Platelet Rich Plasma treatment for Knee Arthritis has some very distinct advantages.  The treatment is safe and uses only products from your own body.  The procedure is done completely on a outpatient basis.  The patient can return to normal activities very quickly and the results are long lasting.  If necessary the Regenerative Injection Therapy using PRP can be repeated without any negative effects.

The Platelet Rich Plasma that is used for Knee Arthritis has to be specifically prepared to maximize its effectiveness for injection into the knee joint.  All PRP is not the same, and needs to be customized for the specific intended use.

The Regenerative Medicine and Joint Preservation Center of Santa Rosa makes this revolutionary treatment option available to the physician and their patients that have Knee Arthritis.


knee cycling

Regenerative Injection Therapy with PRP for your knee can get you back to what you love doing.













©         Regenerative Medicine and Joint Preservation Center of Santa Rosa    2017